Knie
Neben der Hüftendoprothetik stellt die Knieendoprothetik einen weiteren Behandlungsschwerpunkt der Klinik für Unfallchirurgie und Orthopädie dar.
Knieverletzungen
Verletzungen des Knies gehören zu den häufigsten Gelenkverletzungen.
Sportunfälle, Arbeitsunfälle, Stürze und auch ganz banale Verletzungen können zu Meniscusschäden, Knorpelschäden und Kreuzbandabrissen im Kniegelenk führen. Unsere Diagnostik umfasst einen Anamneseerhebung, die eingehende klinische Untersuchung und bildgebende Diagnostik wie Röntgenuntersuchung und Kernspintomographie - MRT.
Kniebinnenschäden werden endoskopisch mit der Kniegelenks-Arthroskopie behandelt. Hierzu zählen
- Meniscusteilresektion
- Meniscusnaht
- Knorpelglättung
- Knorpeltransplantation innerhalb des Gelenks
- Kreuzbandersatzplastik
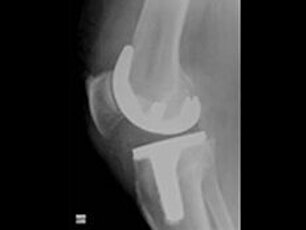
Kniegelenksprothetik
Als Kniegelenksarthrose (Gonarthrose) wird der Verschleiß des Knorpelüberzugs im Kniegelenk mit seinen Knorpelflächen der Oberschenkelrolle und des Schienbeinkopfes bezeichnet.

Dies führt zunehmend zu Schmerzen im Knie und schließlich auch zu einer Bewegungseinschränkung. Ursachen können eine unkorrekte Beinachse, eine alte Knieverletzung, Übergewicht oder anderweitig übermäßiger Verschleiß des Knies sein.
Ist nur die innere Gelenkfläche betroffen, kann man eine sogenannte Schlittenprothese als Knorpelersatz einbauen. Ist das gesamte Kniegelenk betroffen, wird eine Knie-Total-Endoprothese implantiert (Knie-TEP). Die Operation und erste Nachbehandlung erfolgt unter Einlage eines Schmerzkatheters. Die Vollbelastung des operierten Beines wird so früh wie möglich angestrebt. Die Ärzte implantieren jährlich etwa 400 Knieprothesen; sie verfügen damit über sehr viel Erfahrung und Routine bei dieser OP.
Die Patientinnen und Patienten befinden sich einschließlich Operation und Nachbehandlung mit Krankengymnastik und Frühmobilisation circa fünf bis sechs Tage in der Klinik, im Anschluss erfolgt eine stationäre Rehabilitationstherapie in einer geeigneten Reha-Klinik.
Kontakt
Klinik für Unfallchirurgie und Orthopädie
Sekretariat:
Frau Bosnjak
Tel. 07461/97-1358
Fax. 07461/97-5-1358
E-Mail: unfallchirurgie@klinikum-tut.de
Terminvergabe – Chefarztsprechstunde und OP-Vorbereitung
Frau Braun
Tel. 07461 97-1390
Fax: 07461 975-1358
Email: unfallchirurgie@klinikum-tut.de
Chefarztsprechstunde
Montag bis Mittwoch
08.30-13.30Uhr
Nur nach Voranmeldung über die Terminvergabe.
OP-Vorbereitungssprechstunde
Dienstag und Donnerstag – Endoprothetik
Ab 08.00Uhr.
Mittwoch – Ambulante und Stationäre Operationen
Ab 08.00Uhr.
Mitzubringen sind:
* Überweisungsschein „Unfallchirurgie“ o. „Orthopädie“ o. „Chirurgie“ o.ä. vom Orthopäden oder Hausarzt
* Radiologische Fremdbefunde (Röntgen-/CT-/MRT-Bilder auf CD oder QR-Code + schriftlicher Befund)
Bei QR-Code: Bitte auf das Ablaufdatum achten und bei Bedarf verlängern lassen!
* Medikamentenplan (vom Hausarzt)
Unfallchirurgische und BG-Sprechstunde
Tel. 07461 97-1360
Fax. 07461 97-1767
Montag bis Donnerstag
11.30 bis ca. 14.00Uhr
Freitag
09.00 bis ca. 11.00Uhr
Nur nach telefonischer Voranmeldung.
Mitzubringen sind:
* Überweisungsschein „Unfallchirurgie“ o. „Orthopädie“ o. „Chirurgie“ o.ä. vom Orthopäden oder Hausarzt
* Einweisungsschein (bei Sprechstundentermin zur OP-Besprechung und Vorbereitung)
* Überweisungsschein „Radiologie“ vom Orthopäden oder Hausarzt (sofern keine Radiologischen Voraufnahmen vorhanden)
* Radiologische Fremdbefunde (Röntgen-/CT-/MRT-Bilder auf CD oder QR-Code + schriftlicher Befund)
Bei QR-Code: Bitte auf das Ablaufdatum achten und bei Bedarf verlängern lassen!
* Medikamentenplan (vom Hausarzt)






