Fuß
Chefarzt Dr. Matthias Hauger ist zertifizierter Fußchirurg, sodass hierdurch ein weiterer Schwerpunkt abgedeckt wird. Die Klinik für Unfallchirurgie und Orthopädie diagnostiziert und behandelt im Bereich des Fußes daher folgendes Behandlungsspektrum:
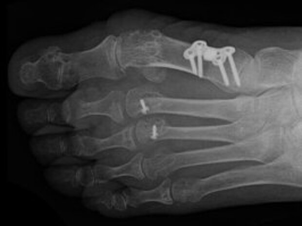
Korrigierende Fußchirurgie
Ziel der heutigen Fußchirurgie ist es, schmerzhafte und funktionelle Fußveränderungen und Spätschäden durch korrigierende Eingriffe zu vermeiden.

- Hallux valgus (Schiefstellung der Großzehe im Grundgelenk): Behandlung durch Chevron-, Scarf-, Ludlof-Osteotomie, Lapidus-Operation
- Hallux rigidus (Arthrose Großzehgrundgelenk mit Einsteifung)
- Cheilektomie, Grundgelenksprothese Zeh 1
- Hammerzehe
- Krallenzehe
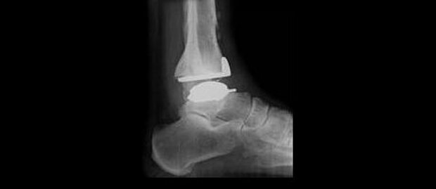
Oberes Sprungelenk
Beim Verbindungsgelenk zwischen Fuß und Unterschenkel können Beschwerden mittels Operation oder auch teilweisem Gelenkersatz gemindert werden.

- Arthrodese - Gelenkversteifung bei massiver Arthrose
- Arthroskopie - Gelenkspiegelung
- Knorpelchirurgie am OSG:
- Entfernung freier Gelenkkörper
- Mikrofrakturierung
- Knorpeltransplantation
- Prothetik oberes Sprunggelenk
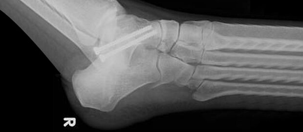
Fuß-Trauma-Versorgung
Folgende Brüche und Verletzungen am Fuß werden behandelt:

- Sprungelenksbrüche (Aussenknöchelfraktur, bi-, trimalleoläre Fraktur)
- Talusfraktur (Bruch des Sprungbeines)
- Calcaneusfraktur (Bruch des Fersenbeines)
- Luxationsfraktur Chopart-Gelenk (Gelenkverbindung Rückfuß - Fußwurzel)
- Luxationsfraktur Lisfranc-Gelenk (Gelenkverbindung Fußwurzel - Mittelfuß)
- Metatarsal-Fraktur (Mittelfußknochenbruch)
- Komplextraumata des Fusses
- Achillessehneverletzung
Zum Einsatz kommen moderne operative Behandlungsmethoden und Osteosyntheseverfahren. Implantiert werden Stahl- und Titanmaterialien: Schrauben, Platten, winkelstabile Platten, kanülierte Schrauben, Kirschner-Drähte, Kleinfragmentplatten und externe Fixateure.
Kontakt
Klinik für Unfallchirurgie und Orthopädie
Sekretariat:
Frau Bosnjak
Tel. 07461/97-1358
Fax. 07461/97-5-1358
E-Mail: unfallchirurgie@klinikum-tut.de
Terminvergabe – Chefarztsprechstunde und OP-Vorbereitung
Frau Braun
Tel. 07461 97-1390
Fax: 07461 975-1358
Email: unfallchirurgie@klinikum-tut.de
Chefarztsprechstunde
Montag bis Mittwoch
08.30-13.30Uhr
Nur nach Voranmeldung über die Terminvergabe.
OP-Vorbereitungssprechstunde
Dienstag und Donnerstag – Endoprothetik
Ab 08.00Uhr.
Mittwoch – Ambulante und Stationäre Operationen
Ab 08.00Uhr.
Mitzubringen sind:
* Überweisungsschein „Unfallchirurgie“ o. „Orthopädie“ o. „Chirurgie“ o.ä. vom Orthopäden oder Hausarzt
* Radiologische Fremdbefunde (Röntgen-/CT-/MRT-Bilder auf CD oder QR-Code + schriftlicher Befund)
Bei QR-Code: Bitte auf das Ablaufdatum achten und bei Bedarf verlängern lassen!
* Medikamentenplan (vom Hausarzt)
Unfallchirurgische und BG-Sprechstunde
Tel. 07461 97-1360
Fax. 07461 97-1767
Montag bis Donnerstag
11.30 bis ca. 14.00Uhr
Freitag
09.00 bis ca. 11.00Uhr
Nur nach telefonischer Voranmeldung.
Mitzubringen sind:
* Überweisungsschein „Unfallchirurgie“ o. „Orthopädie“ o. „Chirurgie“ o.ä. vom Orthopäden oder Hausarzt
* Einweisungsschein (bei Sprechstundentermin zur OP-Besprechung und Vorbereitung)
* Überweisungsschein „Radiologie“ vom Orthopäden oder Hausarzt (sofern keine Radiologischen Voraufnahmen vorhanden)
* Radiologische Fremdbefunde (Röntgen-/CT-/MRT-Bilder auf CD oder QR-Code + schriftlicher Befund)
Bei QR-Code: Bitte auf das Ablaufdatum achten und bei Bedarf verlängern lassen!
* Medikamentenplan (vom Hausarzt)






